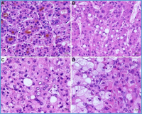
Hepatocellular carcinoma (HCC) is the most common primary cancer of the liver, accounting for 70% - 85% of liver cancer cases. HCC has the leading incidence and mortality rate of cancer diseases in general. All most HCC cases were detected in late stage and patients have little chance of effective treatments. Recently, the use of microRNA molecules as potential markers has been focused on the diagnosis of HCC cases and other cancer diseases.
The main purpose is characterization of Vietnamese wild rice to apply them as valuable genetic resources to improve cultivars. In the past, one of wild rice accessions has been used to breed superior variety AS996 which are cultivated in Vietnam and getting more cultivating areas. This thesis is composed from two parts, 1) Evaluation genetic resources in the Mekong delta, 2) Characterization of superior variety AS996 bred with a particular wild rice in Vietnam. 1
Phaeoacremonium parasiticum has been found to be associated with oleoresin deposition in Aquialaria malaccensis (Agar plant). Mass culture of P. parasiticum needs to be done for its economic and large scale production of Agarwood oil. P. parasiticum cultured on PDA petriplate at 30±1oC, showed very slow growth rate.
Nanomaterials are materials at nanoscale as between 0.1 and 100 nanometer(1nm = 10-9 m), which have large surface area, orientation, and physical properties, appropriate to be used in medicinal sciences, physics and chemistry. The use of gold nanoparticles in biological studies was first introduced by Faulk and Taylor (1971).
Rice (Oryza sativa L.) is the most important food crop in the world and feeds over half of the global population. However, rice production has been decreased due to climate change, especially salinity. Understanding the genetic bases of the diverse morphological and physiological traits associated with rice adaptation to salt affected environments provides the basis for improving yield, quality, and sustainability of rice productivity in saline areas.
Salt stress is one of the most brutal abiotic stresses that limit profitable rice production worldwide. Salinity causes complex interactions among different morphological, physiological and biochemical processes. Salinity may cause oxidative stress due to highly producing of reactive oxygen species (ROS) leading to alteration plant metabolism. As a result, DNA, proteins, lipids, carbohydrates and membranes are damaged.
Phytohormones play critical roles in plant growth and development. Brassinosteroids (BRs) are essential phytohormones required for optimum physiological processes of plant and their deficiency causes distinctive dwarf phenotypes with markedly shorter siliques in Arabidospsis. Homeostasis of BRs in plants is maintained by DWF4 enzyme that mediates multiple 22α-hydroxylation steps in brassinosteroid biosynthesis
Victoria holds a large proportion of the world’s lignite resource, being generally easy to access at low cost. Interest in the use of lignite as an organic amendment is increasing because it is a rich source of humic acids and can reduce the bioavailability of heavy metals. To date, there is no information about the effect of this amendment on soil biological properties
Improving photosynthetic efficiency through increasing the efficacy of photosynthetic carbon assimilation and optimizing the source-sink strength is an important aspect to raise the crop yield potential. The overexpression of mesophyll envelope protein 1 (MEP1) which is one of the key transportersinvolved in the C4 photosynthetic pathway will help in engineeringthe C4 photosynthetic pathway into C3 rice to increase the enzyme activities and overcome the minor fluxes
Cassava bagasse is a fibrous residue obtained from the tapioca starch factories, which contains high starch and cellulose. In addition, it comprises some valuable components like proteins, pectin, lignin, fat, ash, and minerals.
RNA silencing has been regarded as a natural self-defense mechanism to protect plants from their pathogen invasion. Thus, there has been a variety of gene silencing strategies developed and exploited the natural pathway to generate virus-resistant plants. The newly developed artificial microRNA technology is generally recognized as an effective method of down-regulating target genes.
The objectives of study were to determine some limitation factors on yield of bottle gourd and to find out one - two cucurbit rootstocks which might highly compatible with bottle gourd plant; high quality and main diseases tolerance. The study was included one survey and two experiments.


